Abstract
Dyk-Davidof-Masson Syndrome (DDMS) is an important cause of intractable and drug-resistant seizures. It has varied clinical presentation and history with distinct neuroimaging features. Here, we describe a female patient presented with recurrent intractable convulsion, mental retardation, hemiparesis, and characteristic neuroimaging features of cerebral hemiatrophy, calvarial thickening, and ipsilateral hyperpneumatization of the frontal sinuses which is suggestive of DDMS. Early institution of neuroimaging in patients with intractable epilepsy will make early diagnosis and better outcome.
Introduction
Dyke-Davidoff-Masson syndrome (DDMS) is an uncommon disease characterized by seizures, hemiparesis, facial asymmetry, and mental retardation with varied psychological manifestation with distinct features on cross-sectional radiological imaging [1]. DDMS is occasionally seen in clinical practice but one of the important cause of recurrent and refractory seizures. The clinical presentation as well as the radiological features may be variable depending upon the age and extent of cerebral insult. We report a case of an acquired form of DDMS in a 20-year-old unmarried female with a history of on and off seizures with hemiparesis and presently on antiepileptic drugs.
Case Report
A 20yearold young unmarried female born of a non-consanguineous marriage with an uneventful birth history presented with a history of generalized tonic-clonic seizures and some behavioural problem since the age of 6 years. She had a history of non-progressive weakness in the right half of his body since the age of 9 years. The behavioural problems like disturbed sleep, irritability, anger outburst, increased psychomotor activity, suspiciousness and irrelevant talks, were found. The patient did not attend school.
On examination, the patient was undernourished and had poor cognitive function. Vitals were normal. On neurological examination, she had moderate mental retardation (intelligent quotient = 50), right-sided facial palsy and upper motor neuron type of subtle right hemiparesis involving both upper and lower extremity. No neuro-cutaneous markers were present. Examination of other systems was unremarkable. Various lab investigations were with in normal range.
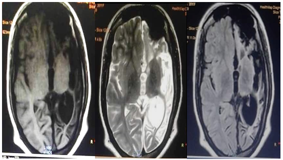
She underwent various cross-sectional imaging. Axial Non-contrast Computed tomography (NCCT) of brain depicts left cerebral hemisphere atrophy with dilatation of ipsilateral lateral ventricle with a bone window showing thickening of the left hemicranium, almost twice the thickness of that on the right side in the temporal region and hyperpneumatization of the left frontal sinuses [Figure 1].
In addition to that, Magnetic Resonance Imaging (MRI) brain demonstrates diffuse cortical and subcortical atrophy as hyperintensities on T2, T2 FLAIR (Fluid Attenuation Inversion Recovery) and hypointensities in T1 sequences, however the left basal ganglia was relatively spared [Figure 2].
With the above findings, a diagnosis of DDMS was finally made. The patient was treated with three antiepileptic drugs and was followed up for five months. But the seizures were poorly controlled. She was referred to higher centre for better interventions.
Discussion
Dyke, Davidoff and Masson, in a series of nine patients with clinical features of hemiparesis, seizures, facial asymmetry, and mental retardation described this specific syndrome called DDMS in 1933 [1]. This syndrome refers to atrophy or hemi-atrophy of one cerebral hemisphere which is secondary to brain insult in the fetal or early childhood period. Predominantly, there is no sex predilection as well as any particular cerebral hemisphere involvement. However, involvement of the left side and male gender have been shown to be more common in literature [2].
DDMS have varied form of clinical presentation depending up on the extent of the brain injury starting from facial asymmetry, Seizures, unilateral hemiplegia or hemiparesis to mental retardation along with learning disabilities and rarely, patients can have neuropsychiatric symptoms.3 In our patient, seizures for months or years is the cause behind mental retardation, and similar finding is also noted by Sharma et al [3, 4].
DDMS broadly categorized into two distinct forms, the infantile or congenital form which becomes symptomatic in the infancy or perinatal period and results from fetal vascular occlusion involving unilateral cerebral arterial circulation specifically middle cerebral artery territory anomalies, coarctation of the midaortic arch culminating in mesencephalon hypoplasia and Wallerian degeneration [5]. In acquired DDMS, the proposed etiologic factors are trauma, haemorrhage, ischemia, infection, birth asphyxia, prolonged febrile seizures and tumor. It is mainly due to several ischemic episodes resulting from variable causes, which in turn reduces brain-derived neurotrophic factors production, which finally ends in cerebral atrophy [3, 6].
In an illustrative way to know the pathogenesis, we have to go through the development of the brain precisely. The brain sulci formation occurs between the fourth to end of the eight months of fetal life [7]. However, the maximum growth of a child’s head reaches half of its adult size at the end of first year and three fourths of the adult size by the end of 3 years, outward pressure of the enlarging human brain on the bony skull is cause behind rapid growth of head circumference [3]. Hence, whenever brain damage is sustained before three years of age, bony skull overlying the brain grows inward resulting in an increased width of the diploic spaces, para nasal sinuses, and elevation of petrous ridge and orbital roof, which are tell-tale features of this disorder [8].
The plain skull radiograph illustrates thickening of the calvarium and dilatation of the ipsilateral frontal and ethmoid sinuses. CT and MRI show unilateral atrophy of the cerebral hemisphere with an ipsilateral shift of the ventricle, widening of sulcal spaces on the involved side. It is associated with compensatory calvarium thickening, hyperpneumatization of the paranasal sinuses and mastoid cells and elevation of the petrous ridge [9]. In congenital hemiatrophy, when the insult occurs in utero, there is a shift of midline structures towards the disease side, but there is absence of sulcal prominence replacing the gliotic tissue. This is the salient feature differentiating congenital from acquired form [6].
To differentiate congenital from acquired type of DDMS, a thorough clinical history from the parents and features of CT or MRI are two keys to unlock the diagnosis. In a patient with cerebral hemi-atrophy, Rasmussen encephalitis, Sturge-Weber syndrome, Silver-Russell syndrome are common differential diagnoses to be considered. These three can be differentiated by thorough clinical examination and cross-sectional neuroimaging. Rasmussen encephalitis does not show calvarial changes with almost similar clinical history and Sturge–Weber syndrome additionally shows enhancing pial angiomas and cortical calcifications and facial port-wine nevus [10, 11]. Silver-Russell syndrome has the classical facial phenotype, clinodactyly, delayed bone age with normal intelligence and normal head circumference [12].
Refractory seizures remain the usual concern in DDMS patients [7]. The treatment is symptomatic, and must oriented to treat convulsion, hemiplegia, hemiparesis, and learning difficulties. Prognosis is better if hemiparesis occurs after the age of 2 years and without prolonged or repetitive seizures. Children with intractable seizures are the potential candidates for hemi-spherectomy with a success rate of 85% in carefully selected cases [13]. Hence, early diagnosis makes early decision making and intervention. In our setting, the perinatal hypoxic injury is one of the causative factors of DDMS, hence the role of proper obstetric care in preventing such conditions.
Conclusion
DDMS is a rare preventable cause of refractory epilepsy. Adult presentation of DDMS is unusual and has not often been reported in medical literature. A thorough history and imaging can give an early diagnosis and differentiate from other close differentials. Treatment is largely supportive and aims at controlling seizures along with physiotherapy, occupational therapy and speech therapy.
Other Information
Financial Support and Sponsorship: Nil
Conflict of Interest Statement: There is no conflict of interest.
Consent: The consent was taken from the patient’s mother.
Ethical Approval: Not applicable
Acknowledgment: The author would like to acknowledge the patient’s mother for providing consent for the case report. Furthermore, authors would like to thank to the Head of the Department of Radio-diagnosis and imaging, PT BD Sharma PGIMS, for their support, guidance, and suggestion during the course of study.
References
-
Dyke
CG,
Davidoff
LM,
Masson
CB.
Cerebral hemiatrophy and homolateral hypertrophy of the skull and sinuses. Gynecol Obstet.
1933;
57
:
588-600
.
Google Scholar -
Unal
O,
Tombul
T,
Cirak
B,
Anlar
O,
Incesu
L,
Kayan
M.
Left hemisphere and male sex dominance of cerebral hemiatrophy (DDMS). Clin Imaging.
2004;
28
:
163-165
.
View Article Google Scholar -
Roy
U,
Panwar
A,
Mukherjee
A,
Biswas
D.
Adult Presentation of Dyke-Davidoff-Masson Syndrome: A Case Report. Case Rep Neurol.
2016;
8
:
20-6
.
View Article Google Scholar -
Sharma
S,
Goyal
D,
Negi
A,
Sood
RG,
Jhobta
A,
Surya
M.
Dyke– Davidoff–Masson syndrome. Indian J Radiol Imaging.
2006;
16
:
165-6
.
Google Scholar -
Pendse
NA,
Bapna
P,
Menghani
V,
Diwan
A.
DykeDavidoffMasson syndrome (DDMS). Indian J Pediatr.
2004;
71
:
943
.
PubMed Google Scholar -
Shetty
DS,
Lakhkar
BN,
John
JR.
DykeDavidoffMasson syndrome. Neurol India.
2003;
51
:
136
.
View Article Google Scholar -
Sarangi
PK,
Mangaraj
PD,
Mohanty
J,
Parida
S,
Swain
BM.
Dyke-Davidoff-Masson Syndrome (DDMS). A rare preventable cause of refractory epilepsy A J Diagn Imaging.
2017;
2
(2)
:
28-30
.
Google Scholar -
Solomon
GE,
Hilal
SK,
Gold
AP,
Carter
S.
Natural history of acute hemiplegia of childhood. Brain.
1970;
93
:
107-120
.
View Article Google Scholar -
Thakkar
PA,
Dave
RH.
Dyke-Davidoff-Masson syndrome. A rare cause of cerebral hemiatrophy in children J Pediatr Neurosci.
2016;
11
(3)
:
252-4
.
View Article Google Scholar -
Sheybani
L,
Schaller
K,
Seeck
M.
Rasmussen encephalitis: an update. Schweiz Arch Neurol Psychiatr.
2011;
162
:
225-231
.
Google Scholar -
Thomas-Sohl
KA,
Vaslow
DF,
Maria
BL.
Sturge-Weber syndrome: a review. Pediatr Neurol.
2004;
30
:
303-310
.
View Article Google Scholar -
Qiu
BP,
Shi
CH.
Silver-Russel syndrome: a case report. World J Pediatr.
2007;
3
:
68-70
.
Google Scholar -
Narain
NP,
Kumar
R,
Narain
B.
Dyke-Davidoff-Masson syndrome. Indian Pediatr.
2008;
45
:
927-928
.
PubMed Google Scholar
Comments & Peer Review
Article Details
How to Cite
Copyrights & License

This work is licensed under a Creative Commons Attribution-NonCommercial-NoDerivatives 4.0 International License.
Publication history
Accepted: 10-06-2018
Published: 03-07-2018
Search Panel
Pubmed
JMRI Journal
Google Scholar
Pubmed
JMRI Journal
Google Scholar
Pubmed
JMRI Journal
Search for this article in:
Google Scholar
Researchgate
CNKI Scholar