Letter to the Editor
Sir,
Multiple myeloma (MM) is a neoplastic plasma-cell disease known for its infiltration of malignant plasma cells in the bone marrow accompanied by multi-organ dysfunction. The median age at diagnosis is approximately 70 years [1]. Less than 2% of the patients are younger than 45 years of age at diagnosis [2]. MM may present as a diffuse disease of the bone (myelomatosis), or may be as a single plasmacytoma of bone or as an extramedullary plasmacytoma (EMP). The very common thoracic involvement by MM is the bone involvement or infiltration of the lungs secondary to an infection. Although, the pulmonary parenchyma is quite a rare site of extra medullary involvement in MM patients, Interstitial lung disease (ILD) as a pulmonary manifestation of MM is even rarer. Only few proved cases have been reported in the literature so far. Therefore, we present a rarest case possible of a multiple myeloma presenting as ILD.
A 40-year-old female with a past history of hypothyroidism and hypertension had presented to the hospital with dyspnoea, neck pain, and vomiting. Her dyspnoea worsened on exertion, with no positional variations, no nocturnal/diurnal variations and was not associated with any chest pain. She was having around 5-6 vomiting per day which was non-projectile, non-bilious with the absence of blood in vomiting and was also afebrile. On physical examination, she was afebrile, pale, tachypnoeic (22/min), tachycardic (104 beats/min) and with the presence of bilateral basilar crackles.
The patient was initially treated with IV fluids, NIV support, anti-emetics, and antacids. Further management included carotid massage, adenosine, diltiazem, amiodarone infusion for PSVT. IV fluids, diuretics, zoledronic acid, calcitonin and dialysis for hypercalcemia. After Multiple myeloma has been confirmed, the patient was treated with chemotherapy of 6 cycles of Bortezomib (2 mg), Dexamethasone (10 mg) regimen and zoledronic acid (4 mg) with each cycle.
Investigations showed anaemia (Haemoglobin of 7.4 gm/dl), raised ESR, hypercalcemia (20.60 mg/dl) while ECG showed ST depression, T wave inversions in V4-6, Lead II and I, AVL and QS complexes in Lead III.
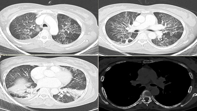
During the course, despite the ongoing treatment, she developed recurrent junctional tachycardia and worsening of respiration due to ILD. Chest X-ray showed bilateral lung infiltrates. CT chest showed patchy ground glass opacification with interlobular septal thickening in bilateral peri-hilar lung parenchyma with multiple osteolytic lesions in vertebrae and sternum [figure 1].
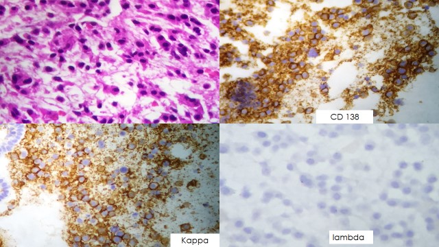
Broncho-alveolar lavage (BAL) tested positive for myeloma cells in the lungs bilaterally. Bone marrow (BM) biopsy showed plasma cells. Immuno-Histo-Chemistry (IHC) showed plasma cell population in both Broncho-alveolar lavage fluid cell block (positive for CD 138) and bone marrow biopsy [figure 2 and figure 3].
Plasma protein electrophoresis showed M spike (2.74 g/dl), and increased gamma globulin (3.41 g/dl) [figure 4].
Serum Immunofixation electrophoresis showed IgG Kappa chain dominance (148.20 mg/L) and increased kappa/lambda ratio (19.32) [figure 5].
Serum Beta 2 macroglobulin was 3143 mg/dl. Thus, the diagnosis of multiple myeloma with myeloma cells infiltrates in lung showing ILD pattern was made.
The patient was initially treated with IV fluids, NIV support, anti-emetics, and antacids. Further management included carotid massage, adenosine, diltiazem, amiodarone infusion for PSVT, calcitonin, IV fluids, diuretics, zoledronic acid and dialysis for hypercalcemia. After the diagnosis of MM was confirmed, the patient was started on chemotherapy of 6 cycles of Dexamethasone (10 mg), Bortezomib (2 mg), and zoledronic acid (4 mg) regimen.
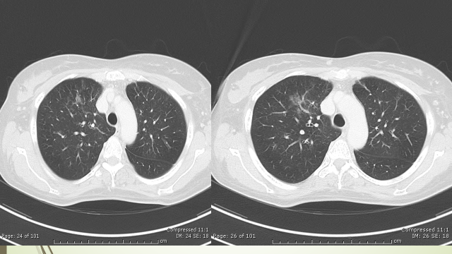
The patient responded significantly well to the treatment with improvement. After 4 cycles of chemotherapy, Plasma protein electrophoresis showed a decrease in M spike (0.80 g/dl) [figure 6].
CT chest showed significant improvement [figure 7].
Patient is currently under regular follow up since 2 years with no new complaints.
Multiple myeloma presenting as ILD has been documented in very rare occasions till date. Interestingly, MM has a potential to involve the thorax through various ways, but the involvement of the pulmonary parenchymal is rather rare. In literature, it was observed that MM’s thoracic manifestations included abnormal skeleton structure, pleural effusions, diaphragmatic dysfunction because of peripheral neuropathy and plasmacytomas.
In a review conducted by Kintzer et al on 958 patients with multiple myeloma, the thoracic manifestations were specifically reported [3]. The most common manifestation was osteolytic lesions of ribs or vertebrae’s which was observed in 267 (28%) patients followed by pulmonary infiltrates {95 patients (10%)}. Otherwise, the pleural effusions were also present in 58 patients (6%) while extramedullary plasmacytomas were observed in 11 (1%). Only 4 patients from this study showed diffuse infiltrates which was thought to be caused by plasma cell infiltrate (proven in only one case). This explains the rare phenomenon of interstitial lung disease in case of multiple myeloma. In the present case, the observed diffuse infiltrates throughout the lung fields were also caused by plasma cells. A similar presentation of multiple myeloma as interstitial lung disease was reported in a case by Ada Tin Wei Ma et al [4] and Nitu et al [5].
Standard medical management of symptomatic MM involves chemotherapy with or without an autologous stem cell transplant for patients under the age of 70 [6]. Intravenous administration of bisphosphonates are used in conjunction with chemotherapy and have been shown to decrease the progression of osteolytic lesions. Bisphosphonate treatment is recommended for patients with radiological evidence of osteolytic lesions or osteoporosis and is continued monthly for a period of 2 years [7]. Supportive therapy for patients with MM may include maintenance of fluid and electrolytes with regular hydration, erythropoietin and transfusions to replace red blood cells and platelets, pain control using analgesics (NSAIDs are contraindicated due to potential for renal complications), promotion of mobility to prevent osteoporotic fractures, spinal decompression surgery for spinal complications, and radiation therapy for focal skeletal lesions [8].
The mean overall duration of survival after being diagnosed with multiple myeloma is 33 months with considerable individual variation [9]. Negative prognostic indicators include older age, a previously diagnosed plasma cell disorder, and key laboratory findings [10]. Laboratory findings indicating a worse prognosis include elevated β-2 microglobulin, serum albumin, and C-reactive protein. The bone marrow cytogenetics can also be used to help determine prognosis upon diagnosis [11].
Lung involvement and pulmonary infiltrates are not common in a case of MM. Most of the time we suspect lung infection. MM should be taken into consideration in the differential diagnosis of pulmonary infiltration in patients with MM. The possibility of myelomatous pulmonary infiltrates should be suspected in the absence of fever, failure to respond to antibiotics and resolution to myeloma treatment. Analysis of BAL fluid and lung biopsy for the presence of plasma cells and IHC provides a means of establishing the diagnosis. Pulmonary involvement indicates aggressive nature of disease. Treatment of MM along with supportive care should be started at the earliest in these cases
References
-
Antonio
P,
Kenneth
A.
Multiple Myeloma. The New England Journal of Medicine.
2011;
364
:
1046-1060
.
Google Scholar -
Blade
J,
Kyle
RA,
Greipp
PR.
Multiple Myeloma in Patients Younger Than 30 Years. Report of 10 Cases and Review of the Literature Archives of Internal Medicine.
1996;
156
:
1463-1468
.
View Article PubMed Google Scholar -
Kintzer
JS,
Rosenow
EC,
Kyle
RA.
Thoracic and pulmonary abnormalities in multiple myeloma: A review of 958 cases. Arch Intern Med .
1978;
138
:
727-730
.
View Article PubMed Google Scholar -
Wei
Ma AT,
Cheuk
Lam Lo R,
Cheng
Y,
Chim
CS.
Multiple myeloma presenting as interstitial lung disease. Journal of Clinical Oncology.
2010;
29
(6)
:
e143-4
.
PubMed Google Scholar -
Nitu
M,
Crusan
E,
Olteanu
M,
Calarasu
C,
Olteanu
M,
Popescu
MR.
Lung Involvement in Multiple Myeloma-Case Study. Current health sciences journal.
2014;
40
(4)
:
274
.
View Article PubMed Google Scholar -
Bernard
GR,
Artigas
A,
Brigham
KL,
et
al.
The American‐European Consensus Conference on ARDS: definitions, mechanisms, relevant outcomes, and clinical trial coordination. Am J Respir Crit Care Med.
1994;
149
:
818-824
.
PubMed View Article Google Scholar -
Berenson
JR,
Rajdev
L,
Broder
M.
Bone complications in multiple myeloma. Cancer Biol Ther.
2006;
5
(9)
:
1082-1085
.
PubMed View Article Google Scholar -
Finnish
Medical Society Duodecim Multiple myeloma (MM) EBM Guidelines Evidence-Based Medicine [Internet] Helsinki,
Finland:
Wiley Interscience.
. .
Google Scholar -
Morgan
JE,
McCaul
DS,
Rodriguez
FH,
et
al.
Pulmonary immunologic features of alveolar septal amyloidosis associated with multiple myeloma. Chest .
1987;
92
:
704-708
.
PubMed Google Scholar -
Chejfec
G,
Natarelli
J,
Gould
V E.
“Myeloma lung” – a previously unreported complication of multiple myeloma. Hum Pathol .
1983;
14
:
558-561
.
PubMed Google Scholar -
Ludmerer
KM,
Kissane
JM.
Right are weakness and pulmonary nodules in a 75 year old man with multiple myeloma. Am J Med .
1993;
95
:
101-110
.
Google Scholar
Comments & Peer Review
Article Details
How to Cite
Copyrights & License

This work is licensed under a Creative Commons Attribution 4.0 International License.
Publication history
Published: 20-04-2018
Search Panel
Pubmed
JMRI Journal
Google Scholar
Pubmed
JMRI Journal
Search for this article in:
Google Scholar
Researchgate
CNKI Scholar